导读:风热型牛皮癣是否遗传?决定牛皮癣发病与否的除了遗传因素外,更主要的还与后天的环境有关。详细的介绍看看长春最好的皮肤医院的专家的介绍。
风热型牛皮癣是否遗传?牛皮癣属于一种多基因遗传疾病,目前的科学条件还无法改变基因,只能是尽量的避免基因的异常表达从而诱发牛皮癣的发生。科学的选择受孕期在一定程度上能避开遗传影响,但这毕竟只是降低了遗传的概率,并不能完全避免牛皮癣的遗传。具体的听听长春最好的皮肤医院的专家的介绍。
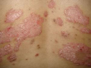
风热型牛皮癣病情发展迅速,皮疹逐渐增多,为红色或深红色点滴状丘疹、斑丘疹,表面覆银白色鳞屑,剥脱后基底有点状出血。偶见同形反应,散在分布于躯干、四肢,也可见于头皮、颜面,自觉瘙痒。如果不及时治疗,则外邪内传,牛皮癣病情会随之加重。

牛皮癣患者也不要过于担心牛皮癣遗传的问题,确切的说牛皮癣患者子女不发病的概率要高于发病的概率。因为,决定牛皮癣发病与否的除了遗传因素外,更主要的还与后天的环境有关。这里说的环境主要指后代的生活环境、性格、饮食习惯等,这些都是受人为影响的。我们完全可以通过适度的控制来消除牛皮癣发病的诱因。
牛皮癣是有一定的遗传倾向性,但牛皮癣并不是完全遗传,单卵双生子女发生率较双卵双生的为高。
长春最好的皮肤医院的专家说该疗法经临床治疗,取得显着效果。皮肤病专家广泛认可,被国内10余所高等级皮肤病研究机构及医院吸收引进,并被国家卫生部有关机构推荐为银屑病(牛皮癣)治疗的最优疗法。“银屑病最新疗法”的问世,填补了国内外牛皮癣治疗空白,为牛皮癣绿色治疗开辟了新的治疗方向。目前,“银屑病最新疗法”是目前治疗牛皮癣最好的方法。
银屑病最新疗法综合西医分子基因学、细胞病理学、纳米药理学、生物物理学、分子免疫学、医学心理学等多门基础学科,结合中医辩证论治理论、中药药理学等传统医学精髓,根据世界卫生组织(WHO)银屑病诊疗规范建立起来的多维康复工程。包括5大权威检测、9大权威治疗技术、13项核心技术和超百项辅助技术构成,以领先世界的多维方式,全面诠释牛皮癣的病因机制和治疗过程,使牛皮癣康复比率大大提高,更安全可靠。
长春最好的皮肤医院的专家科学依据皮肤病的病因、病理、症状、四季特点、气候变化、饮食起居、用药禁忌等诸多方面,制定出一套颇具特色的护理体系,可以给患者提供个性化的日常护理建议。让患者在院时得到有效治疗,回家后进行科学护理,双重措施来防止皮肤病的复发。
>>>网上预约挂号系统入口<<<
【长春博润皮肤病医院就诊指南】
一:点击"在线咨询",打开网上即时对话窗口;
二:与医师进行在线交流,申请预约号;
三:凭预约号到医院就诊,在导医台报预约号,导医全程服务。
据统计,我国各类皮肤疾病患者已达一亿人以上,平均每10万人仅有1.26名皮肤科 医师。此外根据最新皮肤疾病流行病学调查,我国皮肤疾病总患病率高达15%...[详细]