µ±Ç°Î»Ö㺳¤´ºÆ¤·ô²¡Ò½Ôº > Ò½Ôº¸Å¿ö > ¿µ¸´²¡Àý >
À´Ô´£º³¤´ºÆ¤·ô²¡Ò½Ôº °æÈ¨ËùÓÐÇëÎð×ªÔØ Ãâ·Ñ×ÉѯƤ·ô²¡Ò½Ê¦
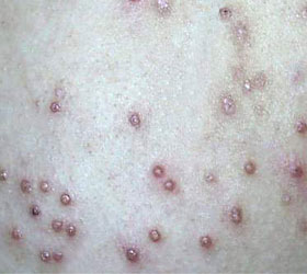
µ¼¶Á£ºÀîÁ¬£¬ÊDZ±¾©Ò»Ëù´óѧµÄ´óËÄѧÉú£¬È¥ÄêµÄʱºòÒ²²»ÖªµÀÊÇÒòΪʲô£¬ËûµÄÊÖÉϾÍͻȻÆðÁ˸í´ñ£¬¶øÇÒ»¹ºÜÑ÷£¬Ëû¾ÍÄÓ¹ý¼¸Ï£¬µ«ÊÇÆÆÁËÒÔºóÒ²¾ÍûÓÐÔÚÒâÁË¡£¿ÉÊǺóÀ´£¬Á³Éϵĸí´ñÒ²ÊÇÔ½À´Ô½¶àÁË£¬Ò²ÊÇÔ½À´Ô½Ñ÷ÁË£¬ÕâÑù¿ÉÊÇ
¡¡¡¡ÀîÁ¬£¬Êdz¤´ºÒ»Ëù´óѧµÄ´óËÄѧÉú£¬È¥ÄêµÄʱºòÒ²²»ÖªµÀÊÇÒòΪʲô£¬ËûµÄÊÖÉϾÍͻȻÆðÁ˸í´ñ£¬¶øÇÒ»¹ºÜÑ÷£¬Ëû¾ÍÄÓ¹ý¼¸Ï£¬µ«ÊÇÆÆÁËÒÔºóÒ²¾ÍûÓÐÔÚÒâÁË¡£¿ÉÊǺóÀ´£¬Á³Éϵĸí´ñÒ²ÊÇÔ½À´Ô½¶àÁË£¬Ò²ÊÇÔ½À´Ô½Ñ÷ÁË£¬ÕâÑù¿ÉÊÇÓ°ÏìÁËËûµÄÕý³£Éú»îºÍѧϰ¡£ËûÔÚÍøÉÏÒ²¿´Á˺ܶàµÄ×ÊÁÏ£¬Ò²Ïò¼¸¼ÒÒ½ÔºµÄר¼Ò×Éѯ¹ý£¬×îÖÕÈ·ÈÏÁËËû»¼µÄ¾ÍÊÇ±âÆ½ðà¡£ËûÌý˵ÕâÖÖ²¡¿ÉÊÇ»¹»á´«È¾µÄ£¬¿É°ÑËûÏÅÁËÒ»Ìø£¬ÕâÒªÊÇ´«È¾¸ø¼ÒÈËÅóÓÑ¿ÉÔõôµÃÁËѽ!

¡¡¡¡ÓÚÊÇËû¾Í¸Ï½ôµÄÇë¼ÙÁËÒ»¶Îʱ¼ä£¬×¨ÃŵÄÈ¥¸÷¼ÒÒ½Ôº¿ªÊ¼ÁËÖÎÁÆ£¬Ò²ÔÚÍøÉÏÂòÁËÐí¶àÒ©£¬¿ÉÊÇÒ©ÊdzÔÁ˲»ÉÙ£¬²¡È´Ã»ÓкÃÒ»µã£¬·´¶øÊÇÔ½À´Ô½ÑÏÖØÁË¡£ËûÒ²¾Í±äµÄÏû¼«ÁË¡£
¡¡¡¡ºóÀ´Ëû¸¸Ä¸Ìý˵Á˳¤´º»ªÉ½Æ¤·ô²¡Ò½ÔºÖÎÁÆÆ¤·ô²¡ºÜÓÐЧ¹ûÒԺ󣬾ÍרÃÅ´ø×ÅËûÀ´µ½ÁËÕâÀÔÚºÍר¼ÒµÄ½»Á÷ÖУ¬×¨¼Ò¶ÔËûµÄ²¡ÇéÓÐÁËÁË½â£¬ËæºóÓÖ¶ÔËû×öÁËÒ»´ÎÏêϸµÄ¼ì²é£¬×îÖÕÈ·¶¨ÁËËûµÄÖÎÁÆ·½·¨£º“¹â¶¯Á¦×ÛºÏÁÆ·¨” ¡£ÕâÖÖÁÆ·¨¹ý³Ì¼òµ¥£¬²»ÓôòÂé×í£¬²»³öѪ£¬ºÜ¿ì£¬Ð¡ÀîÊÖÉÏµÄ±âÆ½ðà¾ÍÏûʧÁË£¬È¬ÓúºóҲûÓÐÁôϰ̺ۺÍÉ«ËØ³Á×Å£¬Ëæ·ÃÖÁ½ñҲûÓи´·¢¹ý¡£
¡¡¡¡>>>ÍøÉÏÔ¤Ô¼¹ÒºÅϵͳÈë¿Ú<<<
¡¾³¤´º»ªÉ½Æ¤·ô²¡Ò½Ôº¾ÍÕïÖ¸ÄÏ¡¿
Ò»£ºµã»÷"ÔÚÏß×Éѯ"£¬´ò¿ªÍøÉϼ´Ê±¶Ô»°´°¿Ú;
¶þ£ºÓëҽʦ½øÐÐÔÚÏß½»Á÷£¬ÉêÇëÔ¤Ô¼ºÅ;
Èý£ºÆ¾Ô¤Ô¼ºÅµ½Ò½Ôº¾ÍÕÔÚµ¼Ò½Ì¨±¨Ô¤Ô¼ºÅ£¬µ¼Ò½È«³Ì·þÎñ¡£
¾Ýͳ¼Æ£¬ÎÒ¹ú¸÷ÀàÆ¤·ô¼²²¡»¼ÕßÒÑ´ïÒ»ÒÚÈËÒÔÉÏ£¬Æ½¾ùÿ10ÍòÈ˽öÓÐ1.26ÃûƤ·ô¿Æ ҽʦ¡£´ËÍâ¸ù¾Ý×îÐÂÆ¤·ô¼²²¡Á÷Ðв¡Ñ§µ÷²é£¬ÎÒ¹úƤ·ô¼²²¡×Ü»¼²¡Âʸߴï15%...[Ïêϸ]
°×ÐãÀ¼Ò½Ê¦,´ÓÒ½¶àÄêÀ´Ò»Ö±ÖÂÁ¦ÓÚÖÐÎ÷Ò½ÖÎ...¡¾Ïêϸ¡¿











































































































































±¾ÍøÕ¾ËùÓÐÄÚÈݾùÓÉ ³¤´º»ªÉ½Æ¤·ô²¡Ò½Ôº ÖÆ×÷·¢²¼£¬Î´¾ÊéÃæÊÚȨ£¬½ûÖ¹¸´ÖÆ¡¢×ªÔØ»ò½¨Á¢¾µÏñ¡£
Copyright& 2009-2018 ³¤´ºÖÎÁÆÆ¤·ô²¡Ò½Ôº All Rights Reserved¡¡
»ªÉ½Ò½ÔºµØÖ· £º³¤´ºÊÐÄϹØÇø´ó¾Â·356ºÅ Ãâ·Ñµç»°£º0431-81089997
×¢£ºÍøÕ¾ÐÅÏ¢½ö¹©²Î¿¼£¬²»ÄÜ×÷ΪÕï¶Ï¼°ÕïÁƵÄÒÀ¾Ý